The Visa Medical – What the doctors or nurses tell you

If you apply for an Australian Partner Visa (spouse visa or fiancée visa) or a New Zealand Citizen’s Family Relationship Visa (Subclass 461) or a Child Visa, then you need to do a visa medical examination. They can also request xray examinations or even full medicals for tourist visas too if they think the applicant is a risk, especially if they are elderly, or going to attend school or a hospital, or if they will be staying longer than the standard 3 months.
They do all this because they don’t want to bring anyone who doesn’t pass the health criteria into Australia. They don’t want the expense or the drain on resources to affect Australia and Australian citizens.

And of more immediate concern is they absolutely wish to keep Tuberculosis (TB) out of Australia. This is a nasty, debilitating lung infection which can lead to deaths if untreated. It's endemic in the Philippines and common amongst the poorer folk. Fortunately it responds well to treatment, but it always comes as a shock to those who get it. No one ever says “Yes, I thought I might have had it!” It’s not so obvious, as everyone has a few coughs from time to time. And it can be a crafty little critter when it comes to xrays too.
Diagnosis of Tuberculosis in the Philippines
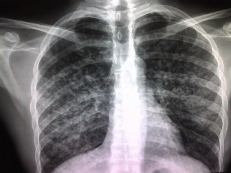
If you Google this, you can see that there is a skin test that can be taken to see if the person has been exposed to TB. In the Philippines this is totally useless! Why? Because everyone here is exposed to it! Everyone shows up positive.
And there are no blood tests. The only way is looking at xrays with an experienced eye and identifying lesions in the lungs. And this is not always easy or obvious.
I can share our experience. We’ve taken in kids here who have had it, and we’ve had them treated successfully. Three to date, and all in excellent health now. I was with them when they were diagnosed, and I can assure you it wasn’t straight forward. Our family doctor has maybe 30 years of experience, and it generally took several xrays sometimes from different angles before they were certain.
And we had one case where one child had a lung infection which meant the lungs were congested already. Couldn’t see a thing! Seeing as her sister had been diagnosed with TB already, the doc took a punt and put her on TB medication anyway just in case. A later chest xray a month later showed there were no lesions, but it was considered not worth taking such a risk.

Visa medicals – the actual process
The visa applicant is sent off to one of the authorized clinics, known as “panel doctors” for some reason known only to them. You can’t see the local family doctor, sorry. The authorised panel doctors are trusted to do their jobs properly and to not be open to corruption. However, this is still the Philippines and the staff will always be Filipino and will always want to be nice and helpful.
The examinations take place, and the results are sent to the Medical Officer of the Commonwealth (MOC) which is the section of the Department of Home Affairs (DOHA) which takes care of whether the visa applicant meets the health criteria or not. They are the decision-makers.
Based on the doctor’s report (including xray findings), the MOC will either give in the thumbs-up or they will give it the thumbs-down. In cases where xray results are not conclusive, they will send through an instruction to Down Under Visa requesting further tests be done. This may include further xrays, and/or may require sputum tests so they can see if TB bacteria can be cultured from the sputum.
And note that the MOC has one job to do, and that is to assess against the health criteria which is written into law. They have no interest in whether flights are booked or if you want to be together at Christmas or not, and won’t be influenced at all. And we can’t hurry them up, so please don’t ask us to do so. And it can be a very slow process, sorry to say.
What if the clinic staff tell you something different?
Filipinos are a helpful lot, and they like telling you good and helpful things. No one wants to be the bearer of bad news or uncertainty, so it happens that doctors and nurses will tell our clients things that are not necessarily true!
Examples:
- Your results are all good and clear
- Your results will be sent to the Embassy in a few days
- Don’t worry! You don’t have TB.
It’s not their decision to make! This is especially the case if results are not certain. And it’s even more so if it’s the nurse who gives you the all-clear. If a doctor of 30+ years won’t give an all-clear without sometimes 3 additional xrays, then I wouldn’t listen to anyone giving you advice on the day.
NB. This is an updated re-posting of a BLOG article from 2016
Who are Down Under Visa? Who is Jeff Harvie?
Jeff Harvie and the Down Under Visa team have been doing this for a lot of years! Down Under Visa have brought thousands of couples to Australia from South East Asia over the years. Mostly from the Philippines, but we help increasing numbers of couples where the visa applicant is from China, Thailand, Vietnam or Cambodia. And what this means is we see a lot of success....and we also see failures when people go it alone after talking to their mate, or their relative, or that minimal-care-no-responsibility Facebook group run by Steve and Maribeth based on their own visa application! One application, and they feel qualified to advise others! It's not even LEGAL to do that!
Want to bring your sweetheart to Australia from The Philippines, Thailand, Vietnam, Cambodia or Southeast Asia? Get a FREE VISA ASSESSMENT today! It will take you five minutes.





